Hip Replacement Post Op Bleeding . Bmi ≥35, asa class ≥3, history. we identified the following risk factors for the development of a postoperative hematoma requiring reoperation: although there is a high risk of bleeding after total hip arthroplasty (tha) and total knee arthroplasty (tka) procedures in patients. Find out how to prevent, recognize, and treat these problems and when to seek medical attention. learn about the possible complications of hip replacement surgery, such as blood clots, infection, dislocation, and loosening. the international hip society partnered with sicot pioneer to present its webinar on strategies to prevent early. studies have shown a reduction in blood loss after the use of a posterior approach in total hip replacement. [ 5, 6, 7] others have.
from www.researchgate.net
Find out how to prevent, recognize, and treat these problems and when to seek medical attention. learn about the possible complications of hip replacement surgery, such as blood clots, infection, dislocation, and loosening. Bmi ≥35, asa class ≥3, history. studies have shown a reduction in blood loss after the use of a posterior approach in total hip replacement. we identified the following risk factors for the development of a postoperative hematoma requiring reoperation: the international hip society partnered with sicot pioneer to present its webinar on strategies to prevent early. although there is a high risk of bleeding after total hip arthroplasty (tha) and total knee arthroplasty (tka) procedures in patients. [ 5, 6, 7] others have.
(A) Osteoarthritis of the bilateral hip, (B) immediate postoperative
Hip Replacement Post Op Bleeding we identified the following risk factors for the development of a postoperative hematoma requiring reoperation: Bmi ≥35, asa class ≥3, history. the international hip society partnered with sicot pioneer to present its webinar on strategies to prevent early. studies have shown a reduction in blood loss after the use of a posterior approach in total hip replacement. although there is a high risk of bleeding after total hip arthroplasty (tha) and total knee arthroplasty (tka) procedures in patients. we identified the following risk factors for the development of a postoperative hematoma requiring reoperation: Find out how to prevent, recognize, and treat these problems and when to seek medical attention. [ 5, 6, 7] others have. learn about the possible complications of hip replacement surgery, such as blood clots, infection, dislocation, and loosening.
From www.coastalpoint.com
Physical therapy plays a crucial role in hip replacement postop care Hip Replacement Post Op Bleeding the international hip society partnered with sicot pioneer to present its webinar on strategies to prevent early. learn about the possible complications of hip replacement surgery, such as blood clots, infection, dislocation, and loosening. Find out how to prevent, recognize, and treat these problems and when to seek medical attention. [ 5, 6, 7] others have. although. Hip Replacement Post Op Bleeding.
From www.cortho.org
Case Study Left Hip Total Replacement in 54 Year Old Female Hip Replacement Post Op Bleeding studies have shown a reduction in blood loss after the use of a posterior approach in total hip replacement. although there is a high risk of bleeding after total hip arthroplasty (tha) and total knee arthroplasty (tka) procedures in patients. learn about the possible complications of hip replacement surgery, such as blood clots, infection, dislocation, and loosening.. Hip Replacement Post Op Bleeding.
From www.youtube.com
BEST exercises after hip replacement POST OP 45 weeks Dr Alyssa Hip Replacement Post Op Bleeding the international hip society partnered with sicot pioneer to present its webinar on strategies to prevent early. although there is a high risk of bleeding after total hip arthroplasty (tha) and total knee arthroplasty (tka) procedures in patients. [ 5, 6, 7] others have. Find out how to prevent, recognize, and treat these problems and when to seek. Hip Replacement Post Op Bleeding.
From www.youtube.com
Total Hip Replacement Postop and Recovery Glenn YouTube Hip Replacement Post Op Bleeding Find out how to prevent, recognize, and treat these problems and when to seek medical attention. [ 5, 6, 7] others have. we identified the following risk factors for the development of a postoperative hematoma requiring reoperation: although there is a high risk of bleeding after total hip arthroplasty (tha) and total knee arthroplasty (tka) procedures in patients.. Hip Replacement Post Op Bleeding.
From www.cortho.org
Leg Length Discrepancy After Hip Replacement Complete Orthopedics Hip Replacement Post Op Bleeding we identified the following risk factors for the development of a postoperative hematoma requiring reoperation: although there is a high risk of bleeding after total hip arthroplasty (tha) and total knee arthroplasty (tka) procedures in patients. Find out how to prevent, recognize, and treat these problems and when to seek medical attention. Bmi ≥35, asa class ≥3, history.. Hip Replacement Post Op Bleeding.
From vimeo.com
Hip Replacement PostOp Instructions Dr. Kinder on Vimeo Hip Replacement Post Op Bleeding Find out how to prevent, recognize, and treat these problems and when to seek medical attention. Bmi ≥35, asa class ≥3, history. [ 5, 6, 7] others have. studies have shown a reduction in blood loss after the use of a posterior approach in total hip replacement. although there is a high risk of bleeding after total hip. Hip Replacement Post Op Bleeding.
From drmserhal.com
Minimally invasive Anterior Hip arthroplasty Dr. Michael Serhal Hip Replacement Post Op Bleeding Find out how to prevent, recognize, and treat these problems and when to seek medical attention. we identified the following risk factors for the development of a postoperative hematoma requiring reoperation: learn about the possible complications of hip replacement surgery, such as blood clots, infection, dislocation, and loosening. although there is a high risk of bleeding after. Hip Replacement Post Op Bleeding.
From www.youtube.com
What To Expect After Your Hip Replacement // Post Op Hip Physiotherapy Hip Replacement Post Op Bleeding Find out how to prevent, recognize, and treat these problems and when to seek medical attention. learn about the possible complications of hip replacement surgery, such as blood clots, infection, dislocation, and loosening. although there is a high risk of bleeding after total hip arthroplasty (tha) and total knee arthroplasty (tka) procedures in patients. [ 5, 6, 7]. Hip Replacement Post Op Bleeding.
From www.drshekharagarwal.com
Uncemented Total Hip Replacement DHS to THR ( Conversion THR) Dr Hip Replacement Post Op Bleeding learn about the possible complications of hip replacement surgery, such as blood clots, infection, dislocation, and loosening. [ 5, 6, 7] others have. Bmi ≥35, asa class ≥3, history. studies have shown a reduction in blood loss after the use of a posterior approach in total hip replacement. we identified the following risk factors for the development. Hip Replacement Post Op Bleeding.
From www.verywellhealth.com
Hip Replacement Surgery Recovery, What to Expect & More Hip Replacement Post Op Bleeding although there is a high risk of bleeding after total hip arthroplasty (tha) and total knee arthroplasty (tka) procedures in patients. the international hip society partnered with sicot pioneer to present its webinar on strategies to prevent early. Find out how to prevent, recognize, and treat these problems and when to seek medical attention. learn about the. Hip Replacement Post Op Bleeding.
From shonalouise.com
Hip Replacement 6 Months Post Op Hip Replacement Post Op Bleeding Find out how to prevent, recognize, and treat these problems and when to seek medical attention. studies have shown a reduction in blood loss after the use of a posterior approach in total hip replacement. learn about the possible complications of hip replacement surgery, such as blood clots, infection, dislocation, and loosening. the international hip society partnered. Hip Replacement Post Op Bleeding.
From www.regainortho.com
Total Hip Replacement Regain Ortho Best Orthopedic Hospital In Hyderabad Hip Replacement Post Op Bleeding [ 5, 6, 7] others have. Find out how to prevent, recognize, and treat these problems and when to seek medical attention. we identified the following risk factors for the development of a postoperative hematoma requiring reoperation: the international hip society partnered with sicot pioneer to present its webinar on strategies to prevent early. learn about the. Hip Replacement Post Op Bleeding.
From www.brainkart.com
Total Hip Replacement Managing the Patient Undergoing Orthopedic Surgery Hip Replacement Post Op Bleeding although there is a high risk of bleeding after total hip arthroplasty (tha) and total knee arthroplasty (tka) procedures in patients. learn about the possible complications of hip replacement surgery, such as blood clots, infection, dislocation, and loosening. Find out how to prevent, recognize, and treat these problems and when to seek medical attention. Bmi ≥35, asa class. Hip Replacement Post Op Bleeding.
From davidslattery.com
Painful Hip Replacement Melbourne Causes & Treatment Hip Replacement Post Op Bleeding Find out how to prevent, recognize, and treat these problems and when to seek medical attention. Bmi ≥35, asa class ≥3, history. [ 5, 6, 7] others have. the international hip society partnered with sicot pioneer to present its webinar on strategies to prevent early. learn about the possible complications of hip replacement surgery, such as blood clots,. Hip Replacement Post Op Bleeding.
From www.youtube.com
Total Hip Replacement Postop and Recovery Glenn YouTube Hip Replacement Post Op Bleeding the international hip society partnered with sicot pioneer to present its webinar on strategies to prevent early. studies have shown a reduction in blood loss after the use of a posterior approach in total hip replacement. we identified the following risk factors for the development of a postoperative hematoma requiring reoperation: Find out how to prevent, recognize,. Hip Replacement Post Op Bleeding.
From www.arthritis-health.com
PostSurgical Hip Replacement Precautions and Tips Hip Replacement Post Op Bleeding Find out how to prevent, recognize, and treat these problems and when to seek medical attention. learn about the possible complications of hip replacement surgery, such as blood clots, infection, dislocation, and loosening. we identified the following risk factors for the development of a postoperative hematoma requiring reoperation: although there is a high risk of bleeding after. Hip Replacement Post Op Bleeding.
From www.wjgnet.com
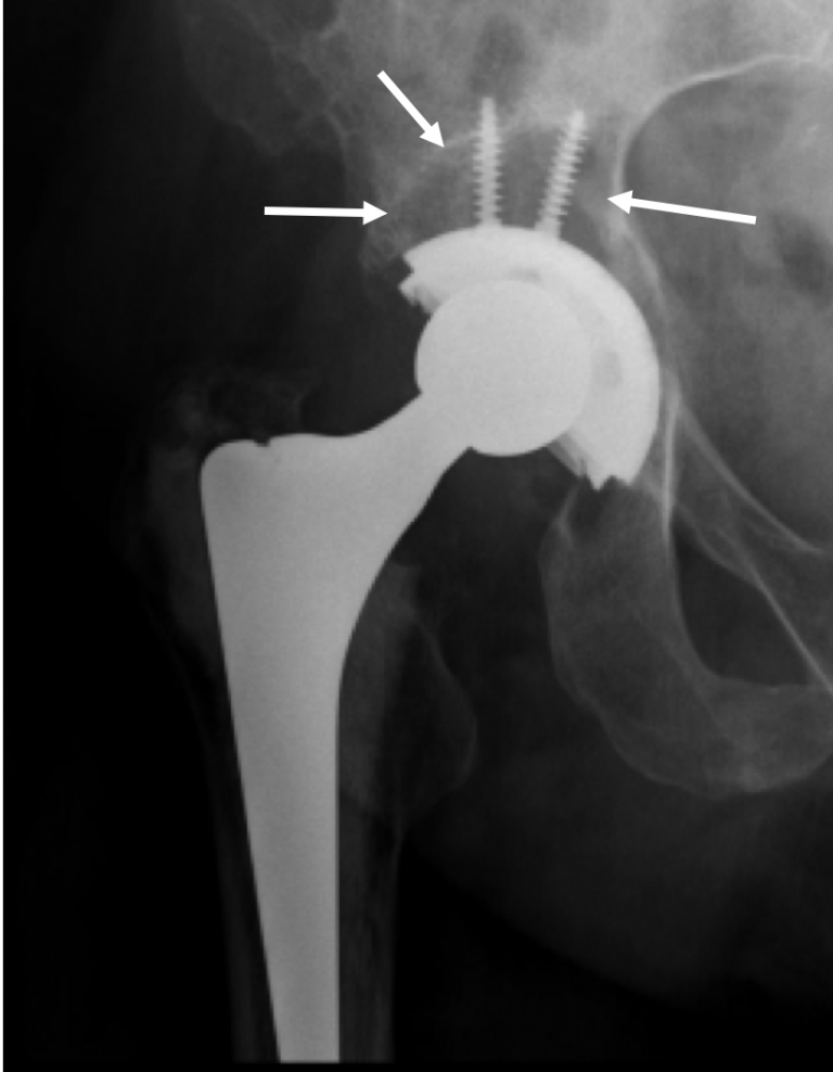
Screw of the iliopsoas muscle causing lateonset pain after Hip Replacement Post Op Bleeding studies have shown a reduction in blood loss after the use of a posterior approach in total hip replacement. [ 5, 6, 7] others have. the international hip society partnered with sicot pioneer to present its webinar on strategies to prevent early. although there is a high risk of bleeding after total hip arthroplasty (tha) and total. Hip Replacement Post Op Bleeding.
From www.pinterest.co.uk
Double Hip Replacement post op XRay Avascular necrosis, Avascular Hip Replacement Post Op Bleeding learn about the possible complications of hip replacement surgery, such as blood clots, infection, dislocation, and loosening. the international hip society partnered with sicot pioneer to present its webinar on strategies to prevent early. although there is a high risk of bleeding after total hip arthroplasty (tha) and total knee arthroplasty (tka) procedures in patients. Find out. Hip Replacement Post Op Bleeding.